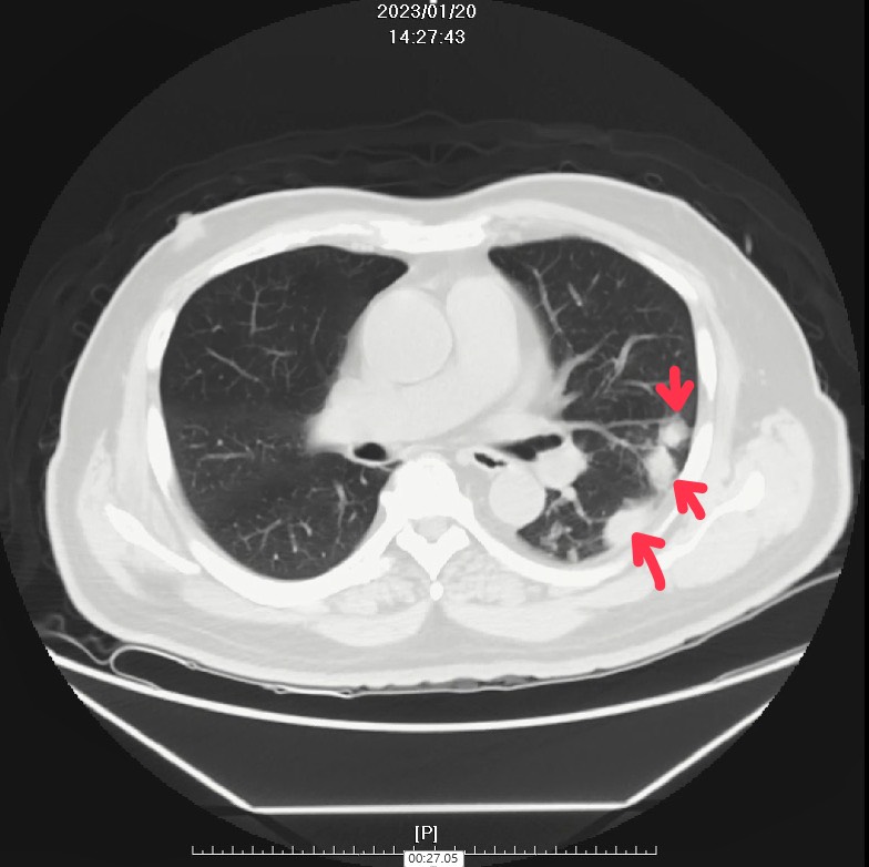
68歲蔡先生因身體不適就醫,檢查發現肺部有多個結節,先後接受肺癌與肺結核治療,病情未見好轉。經由臺中榮總胸腔部呼吸感染免疫科團隊評估,注意到他不咳不喘、症狀表現非典型,分枝桿菌中心與胸腔外科團隊審慎評估後,建議胸腔外科團隊手術切除病灶取得組織檢體。檢驗確認為肺部隱球菌感染(Pulmonary cryptococcosis),經抗真菌藥物治療後,病情明顯改善。

「從事畜牧業多年,也曾養過鴿子,不知道在哪裡接觸到這種真菌,」蔡先生說,雖然輾轉經過3-4年追蹤和治療,終於找到肺結節原因,回頭看過程並不覺得辛苦,因為每個階段治療都讓病因越明朗,且經過正確診斷和治療,現在身體狀況良好。
歐偉凡醫師說明,治療效果不如預期時,進一步檢查就顯得格外重要。蔡先生罹患的隱球菌感染很少見,重點是他一直樂觀面對疾病,體能良好且穩定,有助於他到臺中榮總時順利接受精準的診斷和治療。

歐偉凡解釋,隱球菌常存於土壤或鳥類糞便中,在免疫正常者中感染較少見,早年研究顯示在肺炎中占比不到1%,透過藥物可完全治癒。根據臺中榮總胸腔部的統計資料顯示:相關的風險因子包括糖尿病(占比27.4%)、癌症(占比19.6%)與自體免疫疾病(占比15.6%),近年因對疾病認識增加,隱球菌感染的診斷比例逐漸上升。
另一名65歲孫女士在外院X光檢查中發現肺部多個結節,開刀切片顯示為乾酪樣肉芽腫性發炎,診斷為肺結核。經5個月治療後,病患飽受藥物副作用困擾,追蹤檢查發現肺結節不減反增,轉介臺中榮總胸腔部分枝桿菌中心,醫療團隊為她手術取得完整檢體,確診為非結核分枝桿菌感染,不是結核分枝桿菌是不會傳染且可控制的疾病,讓她卸下傳染疾病的心理負擔,也避免不必要療程和藥物副作用。

上述兩案例皆為困難診斷病例,若僅依靠影像與病理,很可能無法在第一時間給患者適切的診斷及治療。臺中榮總分枝桿菌中心莊子逸醫師指出,臺中榮總分枝桿菌中心專長在鑑定菌種和進行藥物敏感性測試,透過胸腔內外科、影像醫學、病理科和微生物實驗室跨科合作,可以大幅提升診斷準確度。
臺中榮總成立台灣第一個分枝桿菌中心以來,中心團隊通過精準診斷和跨科合作,讓患者接受正確治療,避免恐慌與延誤。統計2020-2023年間,中心診治超過500例疑似結核病患者,其中約15%最終確診為其他疾病,包括非結核分枝桿菌感染、真菌感染等,這些患者因精準診斷而免於錯誤治療。同時,中心不只關注診斷與治療,也重視患者心理需求,提供詳細病情解說、個案關懷與衛教,以及個案管理師指導,給予患者全方位專業支持。

臺中榮總分枝桿菌中心團隊解釋,民眾進行胸部X光或電腦斷層檢查時,常見肺部有一些小小的「陰影」,這些就是肺結節,指的是肺臟內直徑小於3公分的病灶,常見的原因包括惡性腫瘤、良性腫瘤、感染或血管異常,重點是依照醫師建議進行評估與追蹤,精確診斷結節的原因,避免不必要的擔憂。