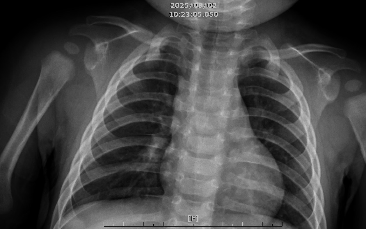
進入秋冬之際,正是各類病毒、細菌蠢蠢欲動的季節。台中醫院上月中就有一名九個月大男童,因為高燒、活動力下降、呼吸喘就醫,結果發現竟是威脅嬰幼兒健康至鉅的「大魔王」肺炎鏈球菌感染;幸運的是,因為男童不但有接種公費肺炎鏈球菌疫苗,連自費的呼吸道融合病毒疫苗、肺炎鏈球菌追加劑、腸病毒七十一型都打了,讓原本嬰幼兒最怕、進展迅速兇猛的肺炎鏈球菌,意外的發病一天後即時被治療且控制,幾乎未威脅到男童的呼吸系統,也未出現腦膜炎、肺炎等嚴重併發症,男童接受2天抗生素治療後退燒且恢復活力,10天抗生素療程結束後順利出院返家。

衛生福利部臺中醫院小兒科李德敏主任指出,新冠肺炎疫情之後,免疫負債依舊持續,所有病毒在秋冬季節依舊蠢蠢欲動,包括今年已經累計15例腸病毒感染併發重症病例,重症數為近6年同期最高,另外流感、新冠肺炎、肺炎鏈球菌、黴漿菌等病毒或細菌都對幼童造成健康威脅,推論還需要一到兩年才會稍微改善。

李德敏主任貼心提醒,目前疾病管制署有提供幼童從出生後到小學前定期施打疫苗的服務,提醒大人在病毒肆虐的秋冬季節,一定要準時帶孩子接種公費疫苗,如果經濟許可,可再接種加強保護幼童避免感染後嚴重併發症的呼吸道融合病毒疫苗、腸病毒七十一型疫苗、最新的鼻吸式流感疫苗、以及追加六個月肺炎鏈球菌疫苗等,他並呼應目前大人們熱烈討論「普發現金一萬」政策的同時,不妨考慮拿去幫孩子打疫苗,「把一萬花在孩子的健康需要上!」
