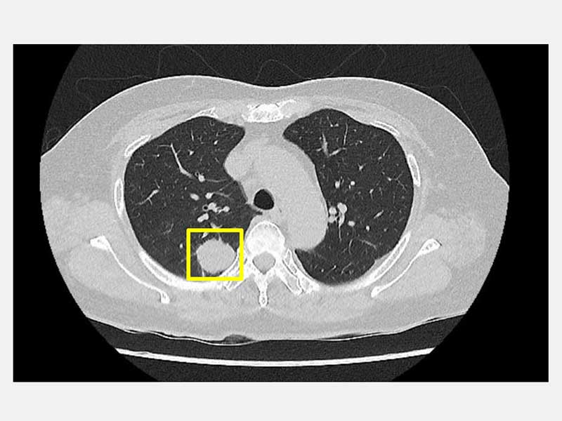
50歲的吳先生平時生活作息規律,從不抽菸,也沒有肺癌家族史,原以為自己身體健康的他在一次健康檢查中,經由低劑量電腦斷層(LDCT)意外發現右側肺部有一顆約2公分大小的腫瘤。吳先生前往仁愛長庚合作聯盟醫院尋求醫療專業協助,經由胸腔暨心臟血管外科林宜右醫師詳細評估後,建議進行肺臟腫瘤切除手術,並且採用目前先進的「單孔達文西機器人微創手術」技術,在三天內順利出院。


林宜右醫師表示,傳統肺臟腫瘤切除是以開胸手術為主,需要大範圍切開胸壁,不僅傷口大、疼痛明顯,恢復期也長。隨著醫療科技進步,微創胸腔鏡手術逐漸成為主流,大幅減少了手術創傷。近年來,更有達文西機器人手術的發展,透過高解析立體影像與靈活機械手臂,醫師能更精準地進行肺臟腫瘤切除,同時保留更多健康肺組織,提高手術安全性與完整性。一般傳統達文西手術需開四至五個小傷口以置入器械,但林宜右醫師及團隊運用單孔達文西機器人技術,僅需約4公分的單一小切口即可完成整個手術,大幅減輕病患術後疼痛與不適。
吳先生在充分了解手術方式後,選擇接受由林宜右醫師主刀的單孔達文西肺部腫瘤切除手術。手術過程順利,僅在右側胸壁開設一個小傷口,透過主刀醫師執行單孔達文西手術,精細操作,成功完整切除腫瘤。吳先生術後的疼痛感大幅減輕,不僅無須承受傳統手術的大範圍創傷,恢復速度也比預期更快,手術隔天便可下床活動。

林宜右醫師為胸腔外科專科醫師,具備完整胸腔疾病診治訓練背景,擅長使用微創手術及達文西機器人技術治療肺癌、肺部結節等問題。林宜右醫師特別指出,單孔達文西手術不僅能降低術後疼痛,減少傷口感染風險,還能兼顧手術的精密與安全性,讓病人在治療上有更好的感受與預後。
林宜右醫師說,現代醫療的進步,是希望讓每一位病人都能以最小的負擔,獲得最完善的治療。並提醒,肺癌初期多無明顯症狀,凡是有吸菸史或家族病史的人,應定期接受低劑量電腦斷層篩檢(LDCT),及早發現及早治療,才能守護健康。