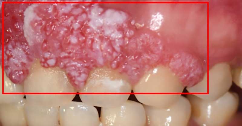
口腔癌的治療以手術為主,術後常因口腔結構受損,出現張口受限、吞嚥困難,或因牙齒拔除而影響咀嚼功能,同時也對患者身心造成極大衝擊。


一位40歲的口腔癌患者許小姐,於2024年至中山醫學大學附設醫院口腔顎面外科就醫,該名患者罹患上顎牙齦癌,需手術切除大範圍上顎骨,不僅影響外觀,口內鄰近腫瘤的10顆牙齒亦需一併切除。術前運用電腦數位模擬技術,精準規劃腫瘤切除範圍及術後牙齒重建位置,並模擬將植體植入顴骨中,以彌補上顎骨缺損。手術當日,由中山附醫口腔顎面外科邱昱瑋主治醫師、陳怡孜主治醫師及陳珮吟主治醫師組成的醫療團隊主導,採用電腦數位模擬手術,先模擬腫瘤切除範圍,再模擬出切除後牙齒該有的排列位置,另外,關於上顎骨先前已被部分切除,透過電腦模擬將植體植入顴骨當中;手術當下,結合切割導版與電腦導航系統輔助,所有相關手術程序於同一日一次完成,精準完成上顎口腔癌腫瘤切除、頸部淋巴清除、顴骨植牙及游離皮瓣重建,大幅縮短治療時程,降低患者身體負擔,目前患者許小姐已成功恢復正常咀嚼功能,生活品質大幅提升。


中山附醫口腔顎面外科自2018年起,全面導入電腦數位模擬手術與精密導航技術,廣泛應用於顏面骨折外傷、正顎手術、腫瘤切除與重建等手術領域,透過術前精準模擬,不僅可減少手術傷口,也能提升顏面手術的安全性與準確度,協助患者重建外觀與功能,順利回歸正常生活。此外,中山附醫口腔顎面外科邱昱瑋主治醫師也提醒,即使不抽菸、不喝酒、不嚼檳榔,仍可能發生口腔癌,民眾若發現口腔內出現長期不癒的潰瘍、腫塊或異常疼痛,應儘早就醫檢查,把握黃金治療時機。