35歲的C小姐是一名會計師,日常工作長時間操作電腦與滑鼠,三年前開始出現手肘外側疼痛。起初只是偶爾痠痛,但隨著工作量增加,疼痛頻率逐漸升高,甚至影響日常生活。她曾到多家診所就醫,被診斷為「網球肘」(肱骨外上髁炎),接受過物理治療、震波治療及局部類固醇注射等保守療法,症狀雖能暫時緩解,但疼痛總是反覆發作,讓她感到十分困擾。C小姐後來到仁愛長庚合作聯盟醫院(大里仁愛醫院)骨科陳重宇醫師門診求診,經採用微創關節鏡手術恢復良好,兩週後即可開始進行伸展訓練,三個月後疼痛幾乎完全消失,日常生活與工作表現均明顯改善。她開心地表示,終於不用再擔心手肘痛到拿不動東西!

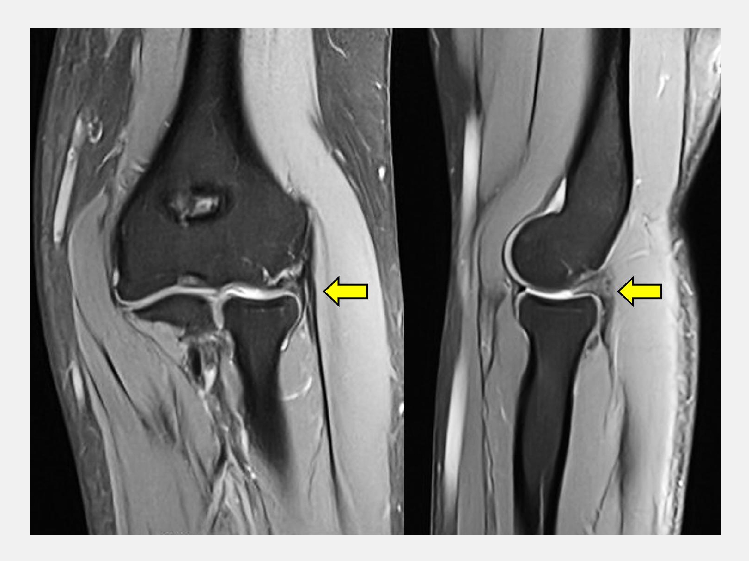
陳重宇醫師表示,C小姐經理學檢查及核磁共振(MRI)後發現,除了肱骨外上髁炎外,還合併肘關節滑膜皺襞增生與軟骨軟化。這類結構性病因若僅以「網球肘」的治療方式處理,往往難以根治。
陳重宇醫師解釋,「網球肘」是最常見的手肘外側疼痛原因之一,主要由重複使用手腕伸展或抓握動作引起,造成肌腱慢性拉扯與微小撕裂,導致局部發炎與疼痛。常見症狀包括抓握無力、提重物時疼痛等。治療上,初期可透過休息、伸展運動、護具、物理治療控制症狀;若疼痛持續或反覆發作,可考慮震波治療或局部注射以促進修復。但若經過六個月以上積極治療仍無改善,建議進一步評估是否有其他病因。

陳重宇醫師說,外側手肘疼痛並非全是「網球肘」,其他常見原因包括:韌帶或關節囊損傷、剝離性軟骨炎、骨刺或退化性關節炎、滑膜皺襞症候群(synovial plica syndrome)和神經壓迫性疼痛。針對手肘的結構性病因,微創關節鏡手術是一個安全且效果良好的選擇。以C小姐為例,手術透過關節鏡直接觀察肘關節內部結構,精準鬆解發炎的肌腱附著點,並清除增生的滑膜皺襞。手術僅需數個約1公分的小切口,創傷小、出血少,術後疼痛明顯減輕,復原速度快。
陳重宇醫師提醒,若手肘疼痛經過6至12個月治療仍無改善,應及早尋求專科醫師檢查,找出病因,對症治療,才能真正改善生活品質。
